quarta-feira, 29 de junho de 2011

Tratamento endodôntico - dente 47 sessão única Documentação microscópica



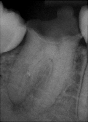
Dente 47 - Pulpite irreversível
PQM: Limas ProTaper Universal até F5, hipoclorito de sódio 2,5% + EDTA - T
Obturação: Hibrida de Tagger








quarta-feira, 22 de junho de 2011

Drenagem de Abscesso extra oral

- Paciente apresentou-se com dor e edema na região mentual.
- No rx inicial vereficou-se uma periodontia apical na região dos incisivos inferiores.
- Após testes de sensibilidade, verificou-se a necessidade de tratamento endodôntico do dente 41.
- Na primeira sessão foi feito acesso ao S.C.R., limpeza, MIC com Ca(OH)2 e drenagem extra oral do. abscesso, não havia edema intra oral.
- Optamos por fazer o acompanhamento radiográfico da lesão, bem como o acompanhamento clínico da fístula.









Aguardem o acompanhamento do caso



sábado, 18 de junho de 2011

Artigo publicado - Tratamento endodôntico de incisivo superior geminado


 
Tratamento endodôntico de incisivo superior geminado

Carlos Eduardo da Silveira Bueno, Carlos Eduardo Fontana, Kenner Bruno Miguita, Felipe Davini, Roberta Aranha Araújo, Rodirgo Sanches Cunha

Resumo
Introdução: A geminação é uma anomalia que ocorre por conta
da tentativa de dois dentes se desenvolverem a partir de um único
germe, resultando em um elemento com tamanho maior que o
normal, porém com apenas um canal radicular, e que, em decorrência
de suas características e peculiaridades, exige atenção quando da
realização do tratamento endodôntico. Objetivo e relato de caso:
Este estudo tem como objetivo apresentar o tratamento endodôntico
de um incisivo central superior portador de geminação. Conclusão:
O planejamento das etapas do tratamento baseado num atento exame
clínico e radiográfico faz-se indispensável para a obtenção do sucesso
no tratamento endodôntico de dentes geminados.







terça-feira, 14 de junho de 2011

Retratamento endodôntico dente 21 - Plug de MTA

Dente 21
Retratamento endodôntico
Desobturação do canal radicular
Remoção do cone de guta-percha além ápice
PQM:  ProTaper universal, F4 e F5, hipoclorito de sódio 2,5% + EDTA T
Plug de MTA - 4mm apicais
Obturação do restante do canal com guta-percha e cimento AH Plus




segunda-feira, 13 de junho de 2011

Grade cientifica - 3o Congresso Internacional da Sociedade Brasileira de Endodontia

Grade cientifica - 3o Congresso Internacional da Sociedade Brasileira de Endodontia

3o Congresso Internacional da Sociedade Brasileira de Endodontia

Artigo publicado - O conceito microsonics: primeiro molar superior com cinco canais – relato de caso




Artigo de Relato de Caso
Case Report Article

O conceito microsonics: primeiro molar superior
com cinco canais – relato de caso

                                                     
Rodrigo Sanches Cunha, Felipe Davini, Carlos Eduardo Fontana                                                                                                           
Kenner Bruno Miguita, Carlos Eduardo da Silveira Bueno


RSBO. 2011 Apr-Jun;8(2):231-5                               
                                                                                          
Resumo

Introdução: A complexidade da anatomia do sistema de canais
radiculares constitui um desafio contínuo para o endodontista.
A morfologia do primeiro molar superior permanente contém
inúmeras variações, referentes ao número de raízes, de canais e à
sua localização. Assim, o sucesso do tratamento endodôntico está
relacionado ao domínio da anatomia. Objetivo e relato de caso:
Este estudo teve como objetivo apresentar o tratamento endodôntico
de um primeiro molar superior com pulpite irreversível em que
o microscópio operatório associado aos insertos ultrassônicos foi
fundamental para o domínio da anatomia. Localizaram-se cinco
canais, sendo dois deles mesiovestibulares, dois distovestibulares e
um palatino. Conclusão: O conhecimento da anatomia, bem como
de suas diversidades, aliado ao uso de tecnologias,como microscópio
operatório, ultrassom e tomografia computadorizada, faz com que
o sucesso no tratamento endodôntico aumente.